News
All NewsBlogs
Media
All VideosCase-Based Roundtable SeriesEichenbaum AcornsExpert InterviewsEyeviewsInsightsMedical World NewsPodcastsRapid ReadoutsThe Retina TL;DRViewpoints
Conference
Conference CoverageConference Listing
Publications
Modern Retina Digital EditionSupplements And Featured Publications
More
Resources
Between the LinesCME/CEEYLEA 8mg for nAMD and DME TreatmentSponsored Resources
Partners

Subscribe

  • News
  • Media
  • Conference
  • Publications
  • Resources
  • Partners
  • Subscribe
  • AMD
    • Wet AMD
  • Biosimilar
  • Diabetic Macular Edema
    • Diabetic Eye Awareness
  • Diabetic Retinopathy
  • Geographic Atrophy
  • Imaging
  • Inherited Retinal Diseases
  • Ophthalmology
    • Europe
  • RVO
  • Retina Technology
  • Retinal Surgery
  • Uveitis
Spotlight -
Geographic Atrophy
Advertisement

Munir Escaf, MD

Advertisement

Articles by Munir Escaf, MD

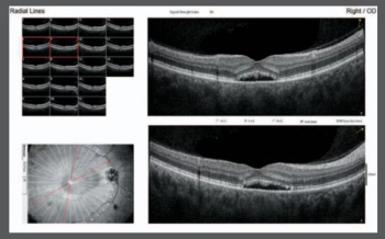
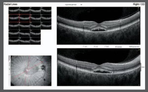
Laser therapy may offer fast-acting option for CSR resolution

ByMunir Escaf, MD
November 12th 2018

Patients tolerate therapy well; high safety profile allows re-treatment as necessary

Advertisement

Latest Updated Articles

  • Laser therapy may offer fast-acting option for CSR resolution
    Laser therapy may offer fast-acting option for CSR resolution

    November 12th 2018



Advertisement
Advertisement

Trending on Modern Retina

1

Ophthalmic drug shortages more frequent, longer lasting than average

2

NovaBridge, Visara report positive phase 2a results for dual VEGF-A/ANG-2 inhibitor VIS-101

3

Genetic Retinoblastoma Risk Stratified by Age Among Patients with Metachronous Bilateral Conversion

4

Galimedix Therapeutics earns milestone payment in ophthalmology partnership with Théa Open Innovation

5

Eichenbaum Acorns: Collaborative retina care with Jeffry D. Gerson, OD, FAAO

  • About
  • Advertise
  • Editorial
  • Contact Us
  • Terms and Conditions
  • Privacy
  • Do Not Sell My Personal Information
Contact Info

259 Prospect Plains Rd, Bldg H
Cranbury, NJ 08512

609-716-7777

Brand Logo

© 2026 MJH Life Sciences®

All rights reserved.

Home
About Us
News
Contact Us