
This agreement allows a launch in the US in the second half of 2026 or earlier in certain circumstances.


This agreement allows a launch in the US in the second half of 2026 or earlier in certain circumstances.

Researchers screened for outcomes such as the presence of retinal diseases including age-related macular degeneration and retinal vein occlusion

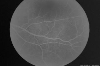
QUASAR is a global, double-masked, active-controlled phase 3 trial evaluating the efficacy and safety of EYLEA HD, compared to EYLEA, in patients with RVO, including those with central, branch and hemiretinal vein occlusions.

The authors searched PubMed, Scopus, MEDLINE, ScienceDirect, and ClinicalTrials.gov, and selected studies based on reports with an association between RVO and heart attack risk.


They went on to explain that biomarkers such as VD in the superior capillary plexus (SCP), deep capillary plexus (DCP), and foveal avascular zone (FAZ) are promising because previous studies have reported changes in vascular density in the brain and retina in AD.


The growing body of evidence that suggests that maintaining adequate levels of vitamin D may be beneficial for preventing and managing RVO.

Researchers noted that patients with sickle cell disease had an increased risk of developing any retinal vascular occlusion.

Consultant ophthalmologist Christiana Dinah, BSc, MB BS, MRes, presented research findings on retinal vein occlusion in the United Kingdom

Sruthi Arepalli, MD, spoke with Modern Retina about her presentation, "Assessing retinal vascular changes in alzheimer disease with radiomics: A preliminary study of fundus photography" at the annual ASRS meeting in Stockholm, Sweden.

Carl J. Danzig, MD, discusses efficacy, safety, and durability of faricimab in macular oedema due to retinal vein occlusion (RVO).

Faricimab is already approved in the EU and UK for neovascular age-related macular degeneration and diabetic macular edema.

Researchers at Washington University School of Medicine in St. Louis for years have worked to understand the rare condition known as retinal vasculopathy with cerebral leukoencephalopathy and systemic manifestations.

Several presentations will provide research updates on various topics related to retinal vein occlusion (RVO).



2024 is already bringing new research and insights to the forefront of retinal vein occlusion and providing new ways to consider retinal vascular health.

Research estimates that the RVO market with see a compound annual growth rate of 11.9%.


RVO can significantly reduce vision-related quality of life, particularly in more severe cases.



Central retinal artery occlusion is characterized by painless, sudden vision loss in one eye, which may be a sign of an eye stroke.

According to the company, the deals from two global Phase III RVO studies will be presented at Angiogenesis, Exudation, and Degeneration 2024.