
The American Academy of Ophthalmology (AAO) 2023 annual meeting is returning home to San Francisco on Friday November 3 through Monday November 6.

Lynda Charters Enoch started her early “eye life” at the Schepens Eye Research Institute, Boston, which ultimately culminated in her current position as an Editor of Ophthalmology Times.

The American Academy of Ophthalmology (AAO) 2023 annual meeting is returning home to San Francisco on Friday November 3 through Monday November 6.

The use of silicone-free syringes advised with these drops.

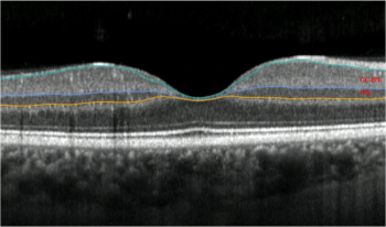
The investigators performed clinical examinations and obtained fundus photographs and inferior optical coherence tomography (OCT) images for both treatments at baseline and on days 1, 3, 8, 15, and 56 after the injections.

A modified endolaser setup was found to be safe and efficient for use during chandelier scleral buckling.

Visual acuity changes and conversion to neovascular AMD determined over 3 years in large patient cohort.

Polish researchers found positive bacterial cultures in premature infants correlated with severe retinopathy of prematurity (ROP), suggesting a potential prognostic marker for early ROP development.

World Sight Day on October 12 highlights the vital role of eye care in workplaces. The International Agency for the Prevention of Blindness urges employers to prioritize eye health, aiming to enhance well-being, safety, and productivity.

Few injections lowers treatment burden and maintains safety profile.

A subgroup analysis of the phase 3 PULSAR Trial showed robust increases in the best-corrected visual acuity (BCVA) compared with baseline at week 48.

Robyn Guymer, MBBS, PhD, Deputy Director, Centre for Eye Research Australia, and Professor of Surgery (Ophthalmology), University of Melbourne, Australia, discussed the study findings at the 23rd annual Euretina Congress, Amsterdam.

Attendees can take advantage of many satellite symposia sponsored by industry. Experts from around the world will present during the symposia.

Experts in all aspects of retinal care will gather at the RAI Amsterdam Convention Centre, located in the Zuidas business district of the city, which is a short distance from historic Amsterdam with is canals, museums, and shops.

When smokers used both cigarettes and e-cigarettes, studies showed additional detrimental findings, such as lower general health, increased sleep latency, and higher vascular disorder risk.

The AI retinal scanning model will be free to use for all institutions.

The 6-month-old boy’s dark brown eyes turned deep blue after he was treated for COVID with favipiravir.

The 3D viewing systems and digital microscopes offer numerous advantages for performing the procedures.

Commonly used immunosuppressants used in the short term to control an ocular inflammatory disease were not associated with increased risk of developing cancer later.

Optical coherence tomography analysis of measurements of cystoid macular lesions showed that patients with different IRD phenotypes can develop very large CMLs.

Researchers have identified markers that indicate the presence of Parkinson’s disease in patients an average of 7 years before the disease presents clinically.

Clinicians should be alert to the fact that while artificial intelligence (AI) is capable of generating ideas and references, it is crucial to thoroughly vet and fact-check any medical research content that AI produces.

Without treatment, severe visual impairment can occur; the first-line treatment for these cases is anti-vascular endothelial growth factor therapy (VEGF).

In this study, the investigators retrospectively reviewed all study patients who underwent pars plana vitrectomy with silicone oil tamponade for postsurgical endophthalmitis.

An experienced dermatologist blinded to clinical data performed the NVC using a videocapillaroscope VideoCap 3.0 (DSMedica) at 200× magnification in the study.

Intergalactic Therapeutics, based in Cambridge, MA, announced its closing after less than 2 years since the company's launch in 2021.

The investigators explored the effects of the following covariates on development of AMD: sex, ethnicity, smoking history, fluoxetine use, obesity, diabetes mellitus, and hypertension.

In addition to the educational offerings, the program offers opportunities for relaxation and spiritual and family-building events.

The Summit will inspire and enable attendees to achieve their goals via a multi-pronged approach.

The main finding was that the male grand round attendees were more likely to pose 1 of the first 3 questions compared with female attendees.

Apellis Pharmaceuticals, Inc. presented results from the GALE extension study at the 2023 ASRS annual meeting in Seattle. The results indicated that continuous treatment with SYFOVRE (pegcetacoplan injection) for 30 months continued to show increasing beneficial effects.

In the study, researchers found that nearly one-quarter of anti-VEGF injections were received at least 1 week later than intended.