
Ophthalmologists share what keeps them up at night in the ophthalmic profession amid the pandemic.

Ophthalmologists share what keeps them up at night in the ophthalmic profession amid the pandemic.

In this second installment, ophthalmologists share how their expectations for "the year of the eye" have compared and contrasted to reality amid the global pandemic.

Ophthalmologists share their outlook for the current state and future of the ophthalmic profession, how coronavirus pandemic has altered the profession as well as how —now, more than ever — patient care remains a number one priority for ophthalmologists.

Retina specialists Caesar Luo, MD, of Bay Area Retina Associates, and S.K. Steven Houston III, MD, of Florida Retina Institute, share their outlooks on retina innovation in the "year of the eye" amid a global pandemic.

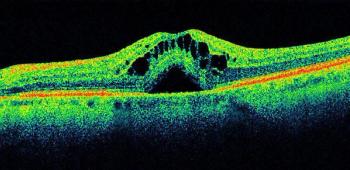
Subretinal transplantation of human embryonic stem cells (hESC)-derived retinal pigment epithelial (RPE) cells in patients with AMD and geographic atrophy (GA) appears well tolerated, according to date presented during ARVO 2020.

The number of patients with retinal diseases is steadily increasing in the United States, according to a retrospective study presented during ARVO 2020.

The FDA has granted the fourth Orphan Drug Designation for a novel gene therapy product candidate (OCU400, Ocugen Inc.) in the treatment of PDE6B gene mutation-associated retinal diseases.

Patents gained less vision in clinical practice than patients on clinical trials

A team of Turkish investigators detected COVID-19 viral material on the environmental surfaces of an ophthalmology examination room despite triage systems to exclude patients with the virus.

This action will result in 2 separate companies

Investigators tested the hypothesis that changes in certain areas of the macular are more relevant to AMD. What did their findings reveal?

Why progression to advanced disease may have a more dramatic impact on patients with neovascular AMD compared with those with central geographic atrophy.

Rates of anxiety and depression increased but were not necessarily tied to disease severity

A retrospective study found that in both patients with type 2 diabetes and non-diabetics, average central macular thickness was lower in Asians than Caucasians. Why is this significant for clinicians?

The results of the Protocol T Extension Study underscore the need for methods to improve long-term visual gains in eyes with diabetic macular edema, according to Dante Pieramici, MD, on behalf of the DRCR Retina Network, during the American Society of Retina Specialists 2020 Virtual Annual Meeting.

Carl Danzig, MD, presented results of phase 2 Stairway Trial during the virtual 2020 American Society of Retina Specialists (ASRS) annual meeting.

An augmented-reality device provides AMD patients with enhanced reading ability and facial recognition.

Intravitreal liposome-encapsulated bromfenac is under study as a treatment for refractory DME. Results of a pilot study were detailed at the virtual 2020 ASRS annual meeting.

The Audacious Goals Initiative of the National Eye Institute is focused on developing noninvasive imaging advances to help patients with vision loss.

These imaging technologies can help with assessing unexpected structural and vascular retinal and choroidal changes in active and post-treatment toxoplasmic retinochoroiditis.

The study authors hypothesized that patients poorly responding to ranibizumab may have resulted from tachyphylaxis or tolerance to the drug and regarding the nonresponders, they speculated that VEGF-A may not have been the main cause of the neovascular growth.

A study of adult patients with diabetes found that bowtie-shaped polarization artifacts do not serve as reliable clinical biomarkers for center-involving diabetic macular edema. What might this mean for clinicians?

An in-office intravitreal therapy delivering a gene for aflibercept expression continues to demonstrate encouraging safety, tolerability, and efficacy in a phase 1 study of patients with neovascular age-related macular degeneration who require frequent injections to control their disease.

Immediate administration after radiation therapy is key.

Use of anxiety-screening questionnaires in patients needing intravitreal anti-VEGF injections may help to identify individuals at risk for elevated pain during the procedure, according to research presented at ARVO 2020.